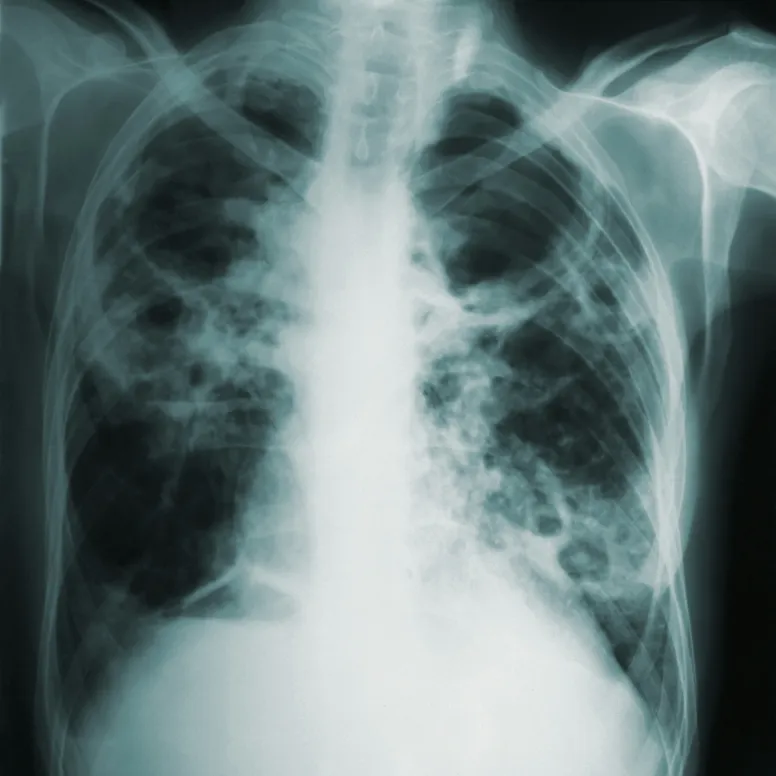
Black lung disease, also known as coal workers' pneumoconiosis, is a serious respiratory condition that affects miners exposed to coal dust over an extended period. The primary cause of black lung disease is the inhalation of coal dust particles that accumulate in the lungs and cause inflammation and scarring.
